2014-08-23 09:48:00 來源:現代快報
網友評論0條 查看全文(共1頁)

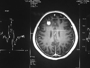
方框亮點為CT片顯示的異物

取出的蟲子在顯微鏡下顯得有些瘆人 通訊員供圖
開顱手術時,醫生用鑷子小心翼翼地將張敏(化名)大腦里的白色異物夾出,放在手術臺上兩秒鐘后,白色物體竟然動起來了,醫生很驚訝“原來是條蟲”。至此,困擾張敏半年之久的癲癇之謎,才算最終解開。醫生懷疑,這與小張吃了不干凈的食物有關系。
兩次癲癇發作,無法確定原因
20歲的張敏,在江蘇蘇州上大學。今年1月份張敏放寒假在家,忽然摔倒在地,渾身抽搐,口吐白沫。20分鐘后,她才醒過來,對剛才發生的事情,一無所知。家里人將張敏送到醫院,醫生認為,雖然癥狀很像癲癇,但頭顱的CT檢查沒有發現任何異常。
今年6月份,張敏在宿舍休息時,又發起了癲癇,也是口吐白沫,渾身抽搐。送到蘇州一家大醫院,頭顱核磁共振檢查出,張敏大腦右額葉處有一處病灶,也就是大腦額頭處有個東西。
專家認為有可能是腦瘤,但也有可能是其他的東西,具體是什么,卻沒有辦法進一步判斷。醫院開了一點控制癲癇的藥物,讓張敏服用,并叮囑隨時復查。
住院前一天又發了一次癲癇
腦袋里的東西,到底是腫瘤還是其他什么東西,這個謎像個石頭一樣,壓得張敏一家人喘不過氣。7月份,張敏一家又來到南京腦科醫院求醫,第三次檢查后,醫生覺得很像是寄生蟲。不過,影像的檢查,只能作為醫生推測的依據,具體是什么,只有手術拿出來后才能知道。
隨后,張敏一家住院,準備手術,將這個東西從腦袋里拿出來。“就在入院的前一天,張敏的癲癇第三次發作。”南京腦科醫院神經外科副主任醫師楊坤說,這一次的時間比較短,大約3分鐘。張敏媽媽卻是嚇壞了。
大腦里夾出3厘米長的蟲子
8月14日,張敏上了手術臺進行開顱手術。術中,楊坤將白色像棉線一樣的異物夾出來后,最初還沒有意識到是什么東西。“放在手術臺上的時候,它竟然動起來了,我當時就想到,這是寄生蟲。”楊坤說,“我們量了一下,蟲子有3厘米長。”
由于手術很順利,下周張敏就要出院了。昨天現代快報記者在病房里看到張敏,她對過往的一切還是有點緊張,“我也不知道是怎么感染上這個蟲子的。”張敏說。
醫生說,雖然蟲子取出來了,但是大腦也遭受到一定的破壞,不排除以后癲癇還有可能發作。
相關疑問
這是什么樣的蟲子?
專家說,這應該就是豬肉絳蟲,也叫豬肉囊蟲。張敏肯定是吃了含蟲卵的相關食物,不一定是豬肉,導致感染得病。
“吃了沒有燒熟的肉、喝了不干凈的水、吃了帶有蟲卵的生蔬菜,或者有不洗手的習慣等,都有可能感染上蟲卵。”楊坤說。
張敏一家對此也十分困惑。女孩子本來就很講究衛生,張敏也不怎么喜歡吃火鍋、燒烤等食品。至于到底是通過什么途徑感染的,已經沒有辦法確定了,不過,張敏說,以后一定會更加注意入嘴的食物。
蟲子怎么長到大腦里的?
蟲卵只有幾十微米大小,肉眼是看不到的,人吃下后,是怎么跑到腦子里,又為什么長那么大?
楊坤說,蟲卵其實對人體是最危險的,如果吃下的是幼蟲,反而只能老老實實地待在胃腸內,人最多有點營養不良,其他沒有太大的事情。蟲卵比較危險,會穿破胃腸壁,進入到人體血液系統。換句話說,蟲卵會隨血液循環,尋找安家落戶之處。一般從卵到幼蟲,會有2個月的時間,最長的豬肉絳蟲,可以長成2-4米。雖然在大腦里,絳蟲長不了這么長,但是大腦結構異常敏感,異物進去后,腦部功能會被破壞。“人的額葉部分,影響著人的智力,誘發癲癇。”楊坤說。
專家建議
吃魚吃肉不要只圖嫩
據介紹,目前已知能感染人的食源性寄生蟲有9種,分屬于吸蟲、絳蟲、線蟲、原蟲四類。最常見的吸蟲是肝吸蟲,它寄生在40多種淡水魚的身體里。如果生吃了受到感染的魚肉就可能得病。
專家提醒說,食用半生不熟的豬肉容易產生“豬囊蟲病”,導致癲癇、頭疼、腦積水,而食用半生不熟的羊肉容易產生“包蟲病”,導致肺部感染、腹痛、肝腫大,食用半生不熟的田螺則容易產生血吸蟲病,導致腹水和肝功能損傷,所以,千萬不要為了追求口感嫩,吃生的、半生不熟的肉。(通訊員 徐曉蓉 現代快報記者 劉峻)